Emergency Care Is Available
Are you suffering from a toothache? Did you chip or crack your tooth in an accident? Staten Island dentist Joseph Mormino is available to see new and existing patients for emergency dentistry. If you have an emergency, call us at (718) 876-9100 and we will make every effort to see you quickly.
Receive Gentle Dental Care
By Joseph T. Mormino, DDS in Staten Island
A Higher Level of General Dentistry
Since 2003, the dentistry practice of Joseph T. Mormino, DDS, has been committed to providing Staten Island, New York, with comprehensive, state-of-the-art dental care in a warm, comfortable environment. Our practice incorporates the most advanced cosmetic dentistry technologies so that our team members can provide you with the best dental treatment possible. From porcelain veneers to professional teeth whitening, Joseph Mormino, DDS is a Staten Island dentist who can truly transform your smile beautifully and efficiently.

In addition to friendly, professional service, our treatment plans are precisely tailored to your unique needs. Our dentist uses the latest technology and creates dental solutions in our very own dental lab. Having an on-site lab allows our team members to provide you with timely restorations, designed and fabricated by knowledgeable technicians who work face-to-face with our dentist to ensure every detail is just right.
Each member of our team of dental professionals is committed to the health of your smile. We invite you to request an appointment at our practice by contacting us online or calling:
(718) 876-9100
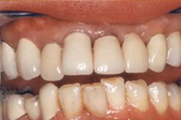
Lifelike, Durable Restorations from Our On-site Dental Laboratory

Meet Our Dentist
Dr. Joseph T. Mormino
Always striving to stay knowledgeable of the latest developments and best practices, Staten Island dentist Joseph T. Mormino has studied diverse dental disciplines under renowned practitioner Dr. Peter Dawson. He has even developed his own advanced tooth replacement method, Smiles Tomorrow, which can help you restore form and function to your smile in as little as 24 hours. Under the care of Joseph Mormino, DDS, you can expect effective, lasting solutions from a doctor who is genuinely invested in your health and happiness.
Prestigious Affiliations & Recognitions

Our Complete Services
- Cleanings & Exams
- Dental Bonding
- Dental Bridges
- Dental Crowns
- Dental Fillings
- Dental Implants
- Dentures
- Emergency Dental Services
- Fluoride Treatments
- Full Mouth Reconstruction
- Implant-Supported Bridges
- Implant-Supported Dentures
- Periodontal Care
- Porcelain Veneers
- Preventive Care
- Root Canal Therapy
- Same-Day Crowns
- Sealants
- Sleep Apnea Treatment
- Smile Makeover
- Teeth Whitening
- TMJ Disorder Therapy
- Tooth Extraction
Haven't Seen the Dentist in a While?
To maintain optimal oral health, experts recommend you visit the dentist once every six months. However, Staten Island dentist Joseph T. Mormino understands that life can get in the way of a perfect dental care routine. Whether it's been one year, five years, or 10 years since you last saw a dentist, we welcome you to schedule an appointment at our New York office.
If you visit us after not seeing a dentist for a while, we won't shame or embarrass you. We just want to help you take care of your teeth and gums so you can live the most healthy and confident life possible. To request a consultation with our experienced dentist, fill out our form or give us a call:
(718) 876-9100
Patients Recommend Dr. Mormino
"I have been a patient for over 20 years. The cleanliness of the office, his professionalism, and outstanding work makes going to the dentist a great experience."
Anthony C.
A Comfortable, Home-Like Environment We Hope You'll Choose Us
Patients who struggle with dental anxiety appreciate our dentist's office in Staten Island, New York, because it doesn't feel like the cold, intimidating, clinical dental practices you may be used to. In fact, our office was originally a residential home that Dr. Mormino renovated into a dental office. We offer multiple amenities to make your appointment with us as pleasant as possible. These include:
- Gourmet coffee, tea, and hot chocolate
- Warm neck pillows during your treatment
- Free Wi-Fi throughout the office
- TV and music in every room
- Ample free parking
If there is anything we can do to make your experience more comfortable, please let us know!
What to Expect at Your First Appointment
When you schedule an initial exam with our Staten Island dentist, you can expect:
If you visit us after not seeing a dentist for a while, we won't shame or embarrass you. We just want to help you take care of your teeth and gums so you can live the most healthy and confident life possible.
"Highly recommended!"
I have been a patient of Dr Mormino's for over 25 years I cannot express what an amazing dentist he is. He takes his time to answer all my many questions and I am never rushed. The office staff is always helpful and very courteous. As someone who has everything from veneers, bridges, implants and crowns I can really appreciate his caring and kind-hearted mannerisms. I have had a lot of intense work done at a young age and there is no other dentist I would trust more.
View on GoogleI cannot begin to explain the gratitude I have to Annmarie who went above and beyond to make my appointment & make me feel comfortable throughout such a rough time. Then there is, Dr. Mormino, who is outstanding with great bedside manner, knowledge and ability to make it all better! Highly recommended!
View on GoogleWhy Patients Choose Our Staten Island Dentist
I recently visited Dr Mormino for the first time. It was due to an emergency to replace an old broken bridge. My mouth and smile was chaotic and a mess. The Dr., hygienist and staff were very professional, thorough and flexible in offering a solution to my problem. I would highly recommend Dr Mormino to my friends and family...he is one of the best on Staten Island.
View on GoogleI come from Middletown NJ to get all my dental needs from Dr. Mormino and staff. They are wonderful. Best Service, Best Hygienist, Best Doctor, Best Staff. After years at my regular dentist in NJ, all the gum issues they missed, I’m never going back and Will Stick with Dr Mormino for life. And in the next life if possible. Veneers are next KEEP SMILING PEOPLE
View on Google







